Hyppää pääsisältöön
Sädehoitokone eli lineaarikiihdytin

Tietoa sädehoidosta

Sädehoidon perusteet

Sädehoito on kirurgian ja lääkehoidon ohella syövän perushoitomuoto. Sädehoito tuhoaa syöpäsoluja ja kutistaa kasvaimia vaurioittamalla jakautuvien solujen rakenteita.

Sädehoidon tarkoituksena on tuhota syöpäsolukko käyttämällä ionisoivaa säteilyä. Säteily pyritään kohdistamaan siten, että kasvaimen säteilyannos on huomattavasti suurempi kuin sitä ympäröivän normaalikudoksen annos. Koska syöpäsolut tyypillisesti jakautuvat normaalia kudosta nopeammin, ovat ne erityisen herkkiä sädehoidolle.

Lääkärin vastaanotto

Kaikki sädehoitoyksikköön tulevat potilaat tulevat hoitoon lääkärin lähetteellä. Lääkärin vastaanottoaika ilmoitetaan potilaille kirjallisesti. Ensimmäisellä käyntikerralla käydään tarkasti läpi potilaan sairauden kulku sekä tiedustellaan hoidon kannalta tarpeelliset taustatiedot.

Lääkäri suorittaa kliinisen tutkimuksen, jonka perusteella tehdään varsinainen hoitopäätös mahdollisista säde- ja solunsalpaajahoidoista. Se, millainen yhdistelmä valitaan, riippuu kyseessä olevasta sairaudesta. Sädehoitopotilaalla voi olla pelkästään sädehoito tai sädehoitoa yhdistettynä solunsalpaajahoitoihin.

Käynnin yhteydessä lääkäri keskustelee potilaan kanssa valitun hoidon merkityksestä sairauteen ja hoidolla saavutettavasta hyödystä. Lääkäri selvittää myös mahdolliset sädehoidon sivuvaikutukset potilaalle.

Suurin osa sädehoitopotilaista käy hoidoissa polikliinisesti kotoa käsin.

Sädehoidon suunnittelu

Ennen sädehoitojen alkua potilaille tehdään tietokonetomografiakuvaus. Kuvaus on röntgenkuvaus, jossa otetaan poikkileikekuvia hoidettavalta alueelta. Kuvauksen tarkoituksena on kuvata alue, jolle annetaan sädehoitoa. Kuvien perusteella tehdään tarkka ja yksilöllinen hoitosuunnitelma, jonka mukaan varsinainen hoito toteutetaan. Kuvauksessa saatetaan käyttää varjoainetta.

Image
TT-simulaattori.
TT-simulaattori.

Pään ja kaulan alueen hoidoissa käytetään kasvoille asetettavaa maskia. Maski tehdään potilaalle ennen sädehoidon suunnittelukuvausta. Maskin teossa on mukana vähintään kaksi röntgenhoitajaa. Maskin tarkoituksena on pitää pää mahdollisimman liikkumattomana sädehoidon aikana. Tehty maski on jatkossa käytössä potilaan sädehoidoissa päivittäin.

Image
Sädehoitomaski
Sädehoitomaski

Tietokonetomografiakuvauksen yhteydessä röntgenhoitaja käy potilaan kanssa alkukeskustelun. Keskustelussa käydään läpi mm. sädehoidon toteutusta, sivuoireita sekä potilaan nykyvointia. Tässä yhteydessä potilas voi myös kysellä hoitoonsa liittyvistä asioista.

Kuvauksessa potilas makaa kuvauspöydällä yleensä selällään. Röntgenhoitajat asettelevat potilaan kuvausasentoon, kuvauksen aikana pöytä liikkuu kohti kuvausaukkoa. Kuvauksen yhteydessä iholle tatuoidaan hoidon asettelupisteet. Aikaa kuvaukseen keskusteluineen menee 45–60 minuuttia.

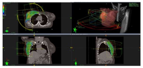
Yksilöllinen sädehoidon annossuunnitelma

Jokaiselle potilaalle laaditaan tietokonetomografiakuvien perusteella yksilöllinen annossuunnitelma. Annossuunnitelma laaditaan yhteistyössä lääkärin, fyysikon ja röntgenhoitajan kanssa.

Image
Oikean rinnan sädehoitosuunnitelma
Oikean rinnan sädehoitosuunnitelma

Ennen sädehoitosuunnitelman tekemistä tietokonetomografiakuvista määritellään tarkasti hoitoalue sekä kriittisten elinten sijaintipaikat. Sädehoitosuunnitelmaa tehtäessä valitaan hoitokone, säteilylaji, energia sekä kenttien suunnat ja paikat hoitoa varten.

Suunnitelman avulla pyritään mahdollisimman tarkasti välttämään terve kudos ja suuntaamaan hoito syöpäkudosta sisältävälle alueelle. Myös kriittisten elinten suojaus määritellään suunnitelman tekovaiheessa.

Suunnitelman tekeminen kestää hoitokohteesta riippuen noin 5–15 päivää.

Sädehoidon toteutus

Ennen sädehoidon alkua röntgenhoitaja kertoo hoitotapahtuman kulusta potilaalle. Itse sädehoito kestää kerrallaan korkeintaan muutaman minuutin, mutta kaikkiaan sädehoitokäyntiin on hyvä varata aikaa noin 15–20 minuuttia. Hoidon aikana potilas on hoitohuoneessa yksin, mutta hoitajat seuraavat kuvamonitoreiden ja ääniyhteyden avulla hoitoa koko ajan. Sädehoidon aikana koneesta kuuluu sirinää, mutta sädehoitoa ei voi tuntea. Potilas ei myöskään jää "säteilemään" sädehoidon jälkeen.

Sädehoitoa annetaan erisuuruisina, ennalta määriteltyinä annoksina yhdestä tai useammasta suunnasta. Samaa kohdetta hoidetaan usealla eri hoitokerralla. Asettelu tehdään hoitosuunnitelman ja iholla olevien merkkien mukaan niin, että jokaisella kerralla pystytään toistamaan haluttu hoito. Sädehoidon aikana on tärkeää olla paikallaan asetetussa asennossa. Hoidon aikana sädehoitolaite on joko paikallaan tai pyörii potilaan ympärillä (RapidArc-hoito). Osa hoidoista toteutetaan hengityspidätyksessä (DIBH-hoito / Deep Inspiration Breath Hold)

Potilas voi viettää sädehoidon aikana normaalia elämää. Kaikista hoidon aikana mahdollisesti ilmaantuvista oireista ja tuntemuksista on hyvä kertoa hoitajille.

Sädehoidon kulkua seurataan tietokonejärjestelmällä monella tavalla. Tietokone varmistaa asettelun oikeellisuuden, seuraa hoidon aikana annettavaa annosta ja kerää tiedot jokaisesta hoitokerrasta sähköiseen hoidon varmennusjärjestelmään.

Hoidon päätyttyä lääkäri kertoo jatkohoidosta ja seurannasta.